喘息などの病態モデルの解明に貢献するBZシリーズ

- 中山 俊憲 氏
-
千葉大学大学院医学研究院 免疫発生学 教授
医学系グローバルCOEプログラム拠点リーダー1959年、岡山県生まれ。1988年、東京大学大学院医学系研究科修了。米国国立癌研究所客員研究員をはじめ、東京大学医学部助手、東京理科大学生命科学研究所助教授、千葉大学大学院医学研究科助教授を経て、2001年に千葉大学大学院医学研究院免疫細胞医学教授に就任。2004年より現職。2008年より医学系グローバルCOEプログラム拠点リーダーを兼任。第3回日本免疫学会賞(2000年)、第14回アボットジャパン・アレルギー学術奨励賞(2004年)など受賞多数。
- 医療のあり方を大きく変えていく「免疫システム統御治療学」
- 01. 免疫関連疾患研究におけるフロントランナーとしての千葉大学
- 02. 免疫記憶の解明に向けた最先端の研究に挑戦している中山氏
- 03. グローバルCOEプログラムで国際研究拠点をめざす
- 04. 喘息などの病態モデルの解明に貢献するBZシリーズ
- 05. 免疫システム統御治療学への若い研究者の参画に期待
- <豆知識> 「免疫に関係する細胞」
医療のあり方を大きく変えていく「免疫システム統御治療学」
近年、人体の免疫の仕組みが解明されるに従い、研究成果を活かした疾患治療が急速に進歩している。アレルギー疾患をはじめとして、がんや心血管疾患などの難治性疾患についても、免疫システムという観点から新たな治療方法が検討されるようになってきた。世界中の研究機関がこの分野での研究開発にしのぎを削っている中で、最先端の基礎研究を手がけるとともに、臨床研究に至るトランスレーショナルリサーチを一貫して展開しているのが千葉大学だ。2008年度からは「免疫システム統御治療学の国際教育研究拠点」としてグローバルCOEプログラムを推進。拠点リーダーである免疫発生学教授、中山俊憲氏が中心となって、さまざまな難治疾患の克服に向けた研究と人材の育成に力を注いでいる。先進医療の実現に向けた取り組みが急ピッチで進んでいる。
01. 免疫関連疾患研究におけるフロントランナーとしての千葉大学
近代免疫学はおよそ2世紀前、イギリスのエドワード・ジェンナーが天然痘を予防するために種痘を開発したことに始まる。その後、ルイ・パスツールやロベルト・コッホ、北里柴三郎といった数々の偉人の業績を経て、免疫学が飛躍的に進歩するとともに、人類はかつて脅威であった感染症を一つひとつ克服してきた。

人体には、体内に侵入してくる病原体などから身を守るために、生体防御という優れた仕組みがある。これには、白血球が病原体を取り込んで分解するというように、生まれつき備わっている先天的生体防御(自然免疫)と、それだけでは対応しきれない病原体に対して、いわば学習機能によって機能する後天的生体防御(獲得免疫)がある。
後者は免疫機能が体内に侵入した細菌やウイルスを認識し、その情報を記憶することで、次回の侵入に対する抵抗性を備える。免疫に関係する細胞としては、抗原を食べてその情報を提示するマクロファージをはじめ、抗体を作りだす細胞の元であるB細胞、マクロファージから情報を元にB細胞への指令を出すT細胞などがある。
近年、免疫システムに関する基礎研究が飛躍的に進み、それぞれの機能が明らかにされつつある。それに伴い、免疫システムを活用した病気の治療が脚光を浴びるようになってきた。たとえば、関節リウマチの治療などは、免疫システムの解明に基づく画期的な治療法の一つとしてすでに広く普及している。さらに、従来は治療が難しいとされてきた疾患を治療する道が拓かれつつある。
世界中の研究機関が免疫システムの解明と疾病治療への応用に取り組んでいる中で、千葉大学は最先端の研究を行なっている研究機関の一つだ。ここでは大学院医学研究院および同薬学研究院が免疫システムに関するメカニズムの基礎研究を進めるとともに、それに基づく難治免疫関連疾患の治療コンセプトの確立をめざしている。さらには、医学部附属病院内に2008年にオープンした未来開拓センターは、基礎研究の成果から生まれた治療コンセプトの証明をめざした臨床研究を推進している。

同大学の大学院医学研究院で免疫発生学の教授を務める中山俊憲氏によると、同大学がめざしているのは、従来の治療法では根治が困難とされる難治免疫関連疾患の治療だ。疾病領域としては、アレルギー疾患をはじめ、がん、血管炎、動脈硬化などと幅広い。千葉大学における研究体制の充実について、中山氏は次のように述べている。
「大学創設としては60周年、前身の千葉医科大学時代を含めると130年以上の歴史を誇る千葉大学大学院医学研究院では、早くから免疫やアレルギーに関する研究が手がけられていて、基礎から臨床に至るまで各分野の専門家が連携しながら最先端の研究を行なっています。また、臨床領域では、小児科をはじめ、内科、皮膚科、耳鼻科に免疫関連疾患が専門の教授が就任しており、それぞれが新しい治療法開発に向けた取り組みを行なっていて、免疫関連疾患の先進治療を追究する一大拠点となっているのです」
02. 免疫記憶の解明に向けた最先端の研究に挑戦している中山氏
中山氏は免疫システムの形成に関する基礎研究の第一人者として、獲得免疫の基礎原理やメカニズムの解明に貢献してきた。免疫細胞の一種であるT細胞は、いくつかのヘルパーT細胞に分化することが知られているが、これらが果たす機能を解明してきた。
さらに、新たな研究として、Th1やTh2などヘルパーT細胞の記憶細胞への分化機構について遺伝子レベルでの解明に取り組んでいる。同氏は「獲得免疫はかなり解明されてきたものの、一方で不明な点も少なくありません。獲得免疫の真髄である免疫記憶の成立機構などはほとんどわかっておらず、私は研究者としてこのメカニズムを分子・遺伝子レベルで徹底的に究明していきたいのです。こうした研究成果はいずれアレルギーの根治治療や、一回の注射で一生有効なインフルエンザ・ワクチンの開発などにつながるはずと思われます」と、研究テーマの重要性を指摘している。
長年にわたる基礎研究を基盤として、中山氏は免疫細胞治療に向けた応用研究も手がけている。その一つがT細胞やB細胞、NK(ナチュラルキラー)細胞に続く「第4のリンパ球」と呼ばれるNKT細胞を用いた、画期的な治療法の研究だ。これはがん治療で効果があると期待されている。特に肺がんについては2001年頃から臨床試験が実施され、がんの腫瘍が縮小するなど顕著な治療成果を挙げている。さらに、頭頸部がんの治療への応用も検討されているなど、本格的な応用の段階を迎えつつある。
「肺がんについては従来の標準的な手術、放射線、化学療法(抗がん剤)治療には限界がありました。というのも、まるでスポンジのような構造をした臓器である肺は、血液の流れも多く、CTなどの画像診断でがんが陰影として見つかった時には、肺内に多くの微小な転移(数ミリ以下)のあることがしばしばです。それがやがて大きくなって肺がんの再発となってしまいます。肺がないと呼吸できず死んでしまいますから、進行期胃がんでの全摘のように予防的に肺を全部手術でとってしまうわけにはいきません。がん細胞を薬剤ですべてたたくのも限界があります。
その点、患者さん自身の免疫システムを活用した治療は有望であり、手術後に行なわれる化学療法などのほかの治療と比較しても、患者さんの余命が大幅に伸びたなどの実績がすでにあります。現在、NKT細胞の用法や用量を見極める臨床研究を実施中で、治療に向けた研究を一歩一歩着実に進めています。先進医療としての適用も準備が進んでいて、現在は100名近くの患者さんが治療を受けている段階です」
免疫細胞を用いたがんの治療は、効果が期待できるとともに、安全で低侵襲であることが大きなメリット。「既存の抗がん剤と異なり、患者の負担が軽いのが特徴。副作用といっても軽い発熱程度にとどまっています」と中山氏は述べている。
そして、研究の今後については「免疫システムによる治療はオーダーメイド医療の一つとしてがんの根治を可能にしていくはずであり、さらにはがんの治療から予防へと医療のあり方を大きく変えていくはず」と予測している。
中山氏はさらに、アレルギー疾患やがんに続いて、新たな取り組みとして動脈硬化などの心血管疾患を免疫システムの観点から治療することを考えている。「動脈硬化を血管内の炎症ととらえることで、免疫システムを用いた治療ができるようになる」のだそうだ。これについて、「10年、20年先を見すえて動脈硬化や血管の炎症が専門の研究者と共同研究に取り組むとともに、この分野の人材を育てることにも力を入れたい」と述べている。
03. グローバルCOEプログラムで国際研究拠点をめざす
千葉大学では、2008年度から中山氏が拠点リーダーを務めるグローバルCOEプログラムを推進している。プログラム名は「免疫システム統御治療学の国際教育研究拠点」。医学研究院および薬学研究院、医学附属病院、そして学外の理化学研究所・免疫アレルギー科学総合研究センター、放射線医学総合研究所が共同で拠点を形成。ここでは免疫システムの研究を行なうとともに、その統御による難治免疫関連疾患の治療研究開発をめざしている。また、教育機関として治療学研究に従事する若手研究員の育成にも力を入れている。
各組織の役割を見ると、千葉大学の両研究院が獲得免疫に基づく治療学の研究を手がける一方、理化学研究所では自然免疫に基づく治療学を展開している。従来、免疫の研究といえば、獲得免疫が中心であったが、近年は自然免疫の重要性が再認識されている。千葉大学と理化学研究所は密接に連携することで、双方の免疫システムを踏まえた先進的な治療法を研究している。
さらに、臨床研究では医学部附属病院が未来開拓センターを中心に免疫関連疾患の臨床試験を手がけるのに加えて、放射線医学総合研究所ががんに対する重粒子線と免疫の併用療法の開発を行なっている。この併用療法は世界で初めての試みであり、がんの低侵襲治療に役立つものと考えられている。
「免疫システムの研究は日・米・欧が肩を並べている段階。今後、この分野で世界のフロントランナーを志向していく上で、ここは最適の環境といえます。グローバルCOEプログラムを推進していく中で、免疫システム統御治療学の国際教育研究拠点として、新規の治療コンセプトを世界に向けて発信していきたい」と、中山氏は抱負を語っている。

(引用:千葉大学グローバルCOEプログラムのホームページ
http://www.isrt-gcoe-chiba.jp/jpn/outline/)

(引用:千葉大学グローバルCOEプログラムのホームページ
http://www.isrt-gcoe-chiba.jp/jpn/research/)
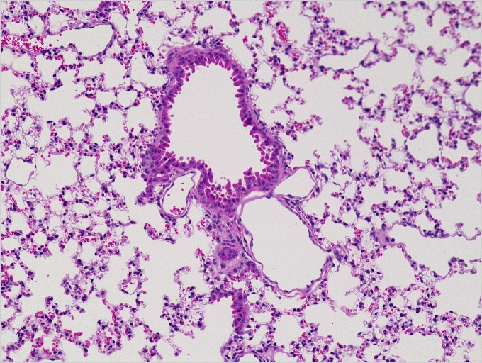
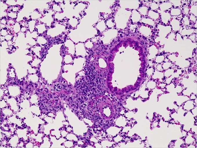
04. 喘息などの病態モデルの解明に貢献するBZシリーズ
グローバルCOEプログラムに採択された研究拠点にふさわしく、中山氏の研究室は最新の細胞分離装置など、免疫関連疾患の病態モデルの研究に必要な設備が整っている。その中で、細胞の観察で威力を発揮しているのが、キーエンスの蛍光顕微鏡「BZシリーズ」だ。


「一般に蛍光顕微鏡は特別なスキルを持った人だけが使いこなせるという印象が強かったですが、BZシリーズは経験が少なくても使いこなせる点が大きなメリット。特に臨床研究を行なっている医師のように、時間に制約があって顕微鏡に触れる機会が限られる人でも手軽に使えるところがいいですね」と、中山氏は評価している。
研究員の中で特に使用頻度が高いのが助教の岩村千秋氏。現在、アレルギー疾患、中でもマウスを用いた喘息の病態モデルの研究に力を注いでいる。そこで重要なのが、肺や気管支などの詳細な観察だ。岩村氏はBZシリーズを用いて拡大観察と写真撮影を行なっているという。
「従来、蛍光顕微鏡の観察は暗室で行なっていましたが、長時間の観察は目が疲れて大変でした。その点、キーエンスのBZシリーズは暗室が不要なので、長い時間でも集中して観察を行なうことができます」
マウスにおける喘息の病態モデルを観察するには、肺全体を見渡した上で重要な箇所を拡大して見る必要がある。この際に便利なのが、BZシリーズのナビゲーションシステムという機能。低倍レンズで撮影した画面の、任意の箇所をクリックするだけで高倍率の画像を表示する。「他機種の顕微鏡では観察に時間がかかり、無駄が多かったのですが、BZシリーズでは見たいところを手軽に見ることができます」と、使用メリットを語っている。
岩村氏が作成する論文用の写真はほとんどがBZシリーズで撮影したもの。「写真の画質が論文の説得力を左右することがあります。それだけに『写真がきれいですね』と評価されるとうれしいものです」とのこと。
「アレルギー疾患のメカニズムは分からないことがまだ多いものの、分子レベルでの解明が進んでいる」と述べる岩村氏。将来はアトピー性皮膚炎を中心としたアレルギー疾患の根治に役立つ基礎研究を究めることが目標という。グローバルCOEプログラムの一員として、数名の大学院生を熱心に指導し、また海外の研究者との交流を深めながら、免疫システムの最先端の研究に従事している。




- BZシリーズがさらに進化して登場!
- キーエンスの最新型オールインワン蛍光顕微鏡「BZ-Xシリーズ」についてカタログで詳しく見る
05. 免疫システム統御治療学への若い研究者の参画に期待
中山氏が編み出した免疫システム統御という視点に立った難治疾患の治療法は、今や世界をリードする存在になろうとしている。もっとも「免疫システムのメカニズムはまだ不明の点が少なくない」と指摘するように、今後の研究成果が待たれるところだ。それだけに「若手の優秀な人材を一人でも多く育成していきたい」と、グローバルCOEプロジェクトへの熱意を示している。
「ある分野を世界トップクラスで究めようとすれば、何より大切なのは、最先端のグループの中で研究を行なうべきです。そうした環境の中で、極端に言えば、24時間考え続けてほしいですね。そして、夢の中にも研究テーマが出てくるぐらい研究に没頭することで道が拓けてくるはずです」
中山氏自身、医学研究の道に入ったのは、学生時代に難治性疾患が少なくないことを痛感したからだ。「臨床医として直せる病気に取り組むことはもちろん大切ですが、直せない病気があるのも事実。これを何とかしたいというのが私の研究者としての出発点です」

昨今は研究助成金が削減されるなど、若手研究者にとって研究を続ける上で厳しい状勢となっているが、中山氏は安易な道を選ぶことなく、研究テーマを追究することの大切さを説いている。
「だれにでもいつかは飛躍のチャンスが訪れるものです。その時に向けて今からしっかりと準備をしてほしいですね。たとえば、これからは海外の研究者との交流が重要ですから、海外留学に向けて語学をマスターしておくこと。日頃の準備が研究者としての飛躍につながるでしょう」
(2009年3月現在)
<豆知識> 「免疫に関係する細胞」
免疫に関係する細胞はいずれも骨髄で生まれ、幹細胞から分化して、マクロファージやT細胞、B細胞、そしてNK(ナチュラルキラー)細胞などその他の白血球となっていく。B細胞はさらに抗体産生細胞となり、これが抗原に対抗する抗体を生み出していく。
また、T細胞はヘルパーT細胞とキラーT細胞に分かれ、前者はB細胞に抗体をつくるように指示を出したり、キラーT細胞に抗原を攻撃するように指示を出したりする。
ちなみに、健常者の血液中、約3分の1がリンパ球で占められている。リンパ球の大半はT細胞とB細胞、NK細胞であるが、0.1パーセント以下というごくわずかの割合でNKT細胞が存在する。これが免疫システムにおける重要な役割を担っているといわれる。


