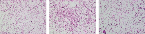
脂肪細胞の定量解析
一括自動計測
脂肪細胞は、細胞質に脂肪滴と呼ばれる脂肪のかたまりをもっている細胞で、単胞性脂肪細胞(白色脂肪細胞)と多胞性脂肪細胞(褐色脂肪細胞)に分かれます。白色脂肪細胞には大きな脂肪滴がひとつあり、脂肪をたくわえる役割をしています。褐色脂肪細胞には中小の脂肪滴が多数あり、脂肪を燃焼して熱を産生します。
肥満に伴って大型化した白色脂肪細胞が増加すると脂肪細胞の機能不全に陥り、生活習慣病の発症につながります。

- 個数
- 1485個
- 平均面積
- 169µm2
- 面積標準偏差
- 403µm2
使用対物レンズ:CFI Plan Apo λ 20x


- 個数
- 1955個
- 平均面積
- 122µm2
- 面積標準偏差
- 352µm2

- 個数
- 3162個
- 平均面積
- 68µm2
- 面積標準偏差
- 186µm2

- 個数
- 1190個
- 平均面積
- 222µm2
- 面積標準偏差
- 416µm2
オールインワン蛍光顕微鏡 BZ-Xシリーズを導入すれば
- 視野に入りきらない大きな切片に対して、ステージを移動しながら画像を取得し、撮影した画像を連結させることで、1枚の高解像度画像を撮影できます。
- 標本に傾きや段差があってもZ方向に複数枚の画像を取得し、撮影した画像からフォーカスが合っている部分だけを合成することで、標本全体にピントがあったフルフォーカス画像を構築することができます。
- ハイブリッドセルカウントを使用して、隣接する脂肪細胞のひとつひとつを抽出し、カウントすることができます。
- ハイブリッドセルカウントで抽出した条件を元に、マクロセルカウントを使用して複数の画像を一括処理できます。


