植物の自家蛍光ボケの除去
自家蛍光とは
自家蛍光の原理
自家蛍光(autofluorescence)とは、細胞の構造や性質などによって生じる光の自然放出(フォトルミネッセンス:PL)のことです。物質に光を照射すると、光(フォトン)の吸収によって電子が励起状態となります。その状態から基底状態に戻るときに光を発するのが、フォトルミネッセンスの原理です。細胞内のミトコンドリアやリソソームなどの細胞オルガネラ(細胞小器官)、コラーゲンやエラスチンなどの細胞外マトリックス(細胞外基質)、NADHやリボフラビンなどフラビン類の環状化合物は、励起光を自然放出するメカニズムを持つことにより、自家蛍光を示します。植物細胞では、光合成に関わる葉緑体であるクロロフィルや細胞壁内のリグニンなどが自家蛍光を示す物質として代表的です。
自家蛍光の波長
一般に、自家蛍光は350~500nmの波長の光で励起され、350~550nmの短い波長の光を発します。
たとえば、自家蛍光を発する環状化合物として代表的なNADHの場合、340nm辺りの波長で励起され460nmを中心とした青色の自家蛍光を示します。一方、植物の光合成において吸収した光によってエネルギーを励起する役割を持つクロロフィルは、680nmを中心とする波長で自家蛍光を示します。
物質によって励起光の波長とそれへの応答性、自家蛍光の波長を把握することは、目的の物質や組織をクリアに観察するうえで重要となります。
自家蛍光による植物の観察の課題と対策
植物の蛍光観察における課題
植物のような多細胞生物の観察においては、蛍光たんぱく質を用いて目的の細胞や構造を選択的に標識し、細胞や組織を拡大して詳しく観察することが一般的です。しかし、植物の蛍光観察において、観察の目的としている細胞やたんぱく質のシグナルが微弱な場合、自家蛍光はそれらの区別を妨げてしまう要因の1つとなります。特に植物細胞の観察においてクロロフィルなど自家蛍光を発する物質は、蛍光ボケの代表的な要因とされています。
植物の自家蛍光による蛍光ボケは、目的とする物質の観察を困難にするため、いかにして蛍光ボケへの対策を施し、観察・解析しやすいクリアな画像を取得するかが課題となります。
自家蛍光による蛍光ボケへの対策
たとえば、植物の細胞観察においてクロロフィルの自家蛍光が弊害となる場合の対策として、フィルタの使用が一般的です。
前述のとおりクロロフィルの自家蛍光は、680nmをピークとする狭い範囲の波長で発せられます。その波長帯に合った蛍光フィルタセットを活用し、680nm付近の波長を除外して観察することにより、蛍光ボケなど自家蛍光による影響を抑えて蛍光観察することができます。
また、蛍光ボケの要因となっている自家蛍光の波長が特定できない、または固有の波長特性を有していない場合は、まず標準的な蛍光フィルタセットでさまざまな波長を試しながら自家蛍光を除外できる波長を見つけ、そのフィルタを使用して目的の物質を観察しやすくするという手法をとります。
植物の観察における課題と要求
フィルタを用いた自家蛍光による蛍光ボケ対策では、自家蛍光を除外するための波長とそれに対応するフィルタを特定するまでに時間と手間を要します。また、植物の細胞内部の構造を観察する際、器官を解剖したり、組織を薄くスライスして切片の標本を作製することがあります。このような標本作製には高い技術や経験が必要でした。同時に、標本作製時、植物に機械的な力が加わることで意図しない反応が生じる懸念もあります。
さらに、従来は組織の切片などの2次元画像から、本来の3次元的な構造を解析・評価することは困難でした。そのため、いかに蛍光ボケの少ないクリアな画像で目的の細胞や組織を選択的に観察できるか、さらには3次元的な構造までも正確かつ効率的に観察できるかが、植物の研究において大きな課題でありニーズであるといえます。
蛍光ボケのないクリアな画像を取得する方法
最新の蛍光顕微鏡であれば、自家蛍光による蛍光ボケのないクリアな画像の取得、さらに3次元的な観察を実現するなどさまざまな課題や要求に簡単かつスピーディに対応することができます。以下では、実際の植物(じゃがいも)の観察画像を用いて植物の観察における課題解決の事例とその方法について解説します。
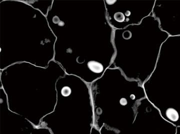
自家蛍光ボケを除去したクリアなフルフォーカス画像
キーエンスのオールインワン蛍光顕微鏡 BZ-Xシリーズは、レーザーを使用せず光学的な手法で自家蛍光による蛍光ボケを取り除く「セクショニング」機能により、クリアな画像を簡単に取得することができます。
セクショニングとは、「光学セクショニングアルゴリズム」*を用いて蛍光ボケを除去することで合焦点位置からの鮮明な蛍光のみを残し、クリアな画像を素早く簡単に取得するための機能です。さらに、セクショニング機能を利用しながらZ軸方向に複数枚の画像を撮影することで、標本の奥行き方向まですべての高さで蛍光ボケの影響を受けずに蛍光シグナルだけを正確に取得します。それら複数の画像からピントの合っている部分だけを検出して合成することで、全体にピントがあったフルフォーカス画像を構築することができます。それにより、従来のフィルタセットから除外したい波長に合ったフィルタを探す手間と時間をカットし、すぐにクリアな画像で観察を行うことができます。
-

-

Zスタック&フルフォーカス
-

-

Zスタック&フルフォーカス
使用対物レンズ:Plan Apochromat 40x
*「光学セクショニングアルゴリズム」では、構造化照明(Structured Illumination)を用い、フォーカス面からの信号のみを取り出し断面化(セクショニング)します。紫外~近赤外まで広い波長を持つメタルハライドランプを用いた励起光を電気的投影素子を通してグリッド状に投影(構造化照明)します。そのグリッドはフォーカスのあっている部分にのみ投影されます。グリッドをZ軸方向に動かして複数枚の画像を取得し、これら複数の画像からグリッドが投影されている部分のみを抜き出して上下方向から蛍光ボケの影響を除去します。このアルゴリズムにより、フォーカス面のみの信号を抽出したクリアな画像を自動的に得ることができます。





3D画像の構築と自由な観察
従来のように複数の断面サンプルからいくつかの2次元画像を得るだけでは、3次元的な組織の構造を観察・解析することが困難でした。
BZ-Xシリーズでは、Z軸方向のピッチの各位置で撮影した複数の画像で成るZスタック画像から、ワンクリックで3D画像を構築することができます。しかも、モニタを見ながらマウス操作をするだけで、3D画像の回転・ズーム・断面観察を自由に行うことができます。
3D画像はどのアングルにおいてもフルフォーカス画像が得られるため、マウスで自由に操作しても蛍光シグナルの局在を正確に把握することができ、目的の細胞や組織を見失うことがありません。
-

通常観察
-

セクショニング観察
- オールインワン蛍光顕微鏡 BZ-Xシリーズを導入すれば
-
- 光学的に蛍光ボケを取り除くセクショ二ング機能により、クリアな画像を簡単に取得することができます。
- Z軸方向に指定のピッチで複数枚の画像を連続撮影するZスタック機能と、それらの画像からピントが合っている部分だけを抽出して合成するフルフォーカス機能により、標本の奥行きまで全体にピントが合ったフルフォーカス画像での観察が可能です。
- セクショニング機能を用いて取得したZスタック画像をもとに、正確で高精度な3D画像を簡単に構築できます。
- 3D画像の回転・ズーム・断面観察をマウス操作だけで自由に行うことができ、あらゆるアングルから蛍光シグナルの局在を正確に把握できます。


