皮膚の紫外線ダメージ部位の定量評価
紫外線には、殺菌や生体リズムの調整・新陳代謝の促進、さらにビタミンDを合成して骨を強化するなど人体に有益な機能があります。 しかし、近年ではオゾン層破壊による紫外線の増加で、日焼けによる皮膚老化や皮膚がんなどの健康被害も指摘されています。
ここでは、紫外線とは何かを解説し、紫外線が皮膚に与える影響とそのメカニズムについて説明します。さらに、紫外線による皮膚のダメージの観察・定量評価についても説明します。
紫外線とは
紫外線とは、地表に届く太陽光線(電磁波)の中で波長が100nm~400nmの範囲の光線のことです。1801年にリッター(Johann Wilhelm Ritter)により発見され、可視光線と言われる400nm~780nmの、最も短い紫色の波長(400nm)より短い波長であることから紫外線と呼ばれています。
波長について:ここでは、光医学・光生物学の値を用いて説明します。
紫外線の種類
紫外線は、さらに生物への作用によりUVA・UVB・UVCに分けられます。
UVA(長波長紫外線):波長が320nm~400nmの紫外線を指します。
UVB(中波長紫外線):波長が290nm~320nmの紫外線を指します。
UVC(短波長紫外線):波長が100nm~290nmの紫外線を指します。
地表に届く太陽光線のうち紫外線は5%~6%であり、そのうち約90%がUVA、10%近くがUVBです。UVCはほとんどがオゾン層に吸収されるため、地表に到達しません。したがって、皮膚表皮層へのダメージを考察するに当たってはUVAとUVBが対象となります。
- a
- 紫外線
- b
- 可視光線
- c
- 赤外線
紫外線の波長と光子エネルギー
紫外線は電磁波の一種であり光です。光は光子という粒子(素粒子)でできており、この粒子が持つエネルギーを光子エネルギーと言います。光子エネルギーは光の振動数に比例し波長に逆比例するので、光子エネルギーEは、hをプランク定数(6.626×10-34Js)、cを光の速度、λを波長とした場合、以下の式で表現できます。
E = h × c / λ
この式から、波長λが長くなると光子エネルギーEは小さくなり、波長λが短くなると光子エネルギーEは大きくなることがわかります。光子エネルギーは大きいほど物質の分子結合を破壊する力は大きく、波長が長いほど地表への到達率は高くなります。
UVBは波長が短いため地表への到達率が低く真皮までは浸透せず、表皮に障害を与えます。また、光子エネルギーが大きいため短時間で強い障害を与えます。
一方、UVAは波長が長いため地表への到達率が高く、表皮を通過して真皮にまで到達します。光子エネルギーが小さいため短時間で障害を与えることはありませんが、長期間にわたって浴び続けると、真皮に障害を与えます。
皮膚の紫外線からの保護機能
皮膚にはターンオーバーを利用し、紫外線から真皮や皮下組織を守る機能があります。
皮膚は、表皮・真皮で構成されています。このうち、表皮は最も表面の層です。表皮は表面から順に角質層(角層)・顆粒層・有棘層(ゆうきょくそう)・基底層に分かれています。
紫外線が表皮の角質層を通過すると、UVAやUVBから真皮を保護するために、基底層のメラノサイトがメラニン色素を生成します。メラニン色素は褐色または黒色の色素です。生成されたメラニン色素はケラチノサイト(表皮細胞)に分泌され、角質層に押し上げられます。
角質層に押し上げられたメラニン色素とケラチンにはUVA・UVBを遮断する機能があり、皮膚が持つこの一連の作用によって基底層や真皮を紫外線から保護しています。
- A
- 紫外線
- B
- 表皮
- C
- 真皮
- D
- 角質層
- E
- 顆粒層
- F
- 有棘層
- G
- 基底層
- H
- メラノサイト
紫外線による皮膚障害
前述のとおり、皮膚には紫外線から表皮の基底層や真皮を保護する機能があります。しかし、保護機能を上回るような大量の紫外線を浴びたり、長期間にわたって紫外線を浴び続けると皮膚に障害が発生します。ここでは、紫外線が与える皮膚障害における代表的な症状と発生のメカニズムについて紹介します。
UVBによる皮膚障害
UVBは波長が短くオゾン層などに吸収されるため、地上に到達する量は少なく皮膚への浸透も浅い一方、エネルギーが大きいため短時間の照射で「サンバーン」や「サンタン」という障害を発生させます。
サンバーンは紫外線によって皮膚が赤くなる現象です。主にUVBによって引き起こされ、「紅斑反応」とも言われます。サンバーンは急激に強い紫外線を浴びた数時間後から発生、赤くなった部分の血管は拡張し炎症が起こります。その後8時間から12時間ほどで症状はピークに達し、数日間この状態が続いた後、元に戻ります。
血管の拡張により、UVBを吸収したケラチノサイトがサイトカインを生成し、炎症反応を引き起こします。また、このときDNA鎖で隣り合っているピリミジン塩基を結合してピリミジン2量体という細胞の傷になります。皮膚の細胞は、ヌクレオチド除去修復という機能でこの傷を修復することができます。しかし、この機能を上回る量の傷が発生したり、うまく修復できないとサンバーンが発生します。さらに傷付いた細胞が増殖することで、メラノーマ(悪性黒色腫)や有棘細胞がん・基底細胞がんと言われる悪性の皮膚がんの原因にもなります。
サンタンは、紫外線によって皮膚が黒くなる現象で「黒化」または「タンニング」とも言われます。症状には「即時型黒化反応」と「遅延型黒化反応」があります。
- 即時型黒化反応
- 即時型黒化反応は、紫外線を浴びた直後に皮膚中の還元型メラニンが光酸化して発生する現象です。一般に数時間以内に元の状態に戻ります。
- 遅延型黒化反応
- 遅延型黒化反応は、紫外線を浴びた約2日後から新しいメラニン色素が長期間にわたって生成されることで発生します。遅延型黒化反応は数か月以上も続きます。
UVAによる皮膚障害
UVAはUVBに比べて多くの量が地上に到達します。また、波長が長いため表皮の角質層のメラニン色素とケラチンを通過して真皮にまで浸透します。
真皮に到達したUVAは弾性繊維や膠原繊維・ムコ多糖類などに障害を与え皮膚の弾力性やハリを低下させて、シワやたるみといった肌の老化現象(光老化)や皮膚障害を発生させると考えられています。また、すでにできているメラニン色素を酸化させ、肌を黒くさせる作用もあります。
紫外線による皮膚ダメージの定量評価
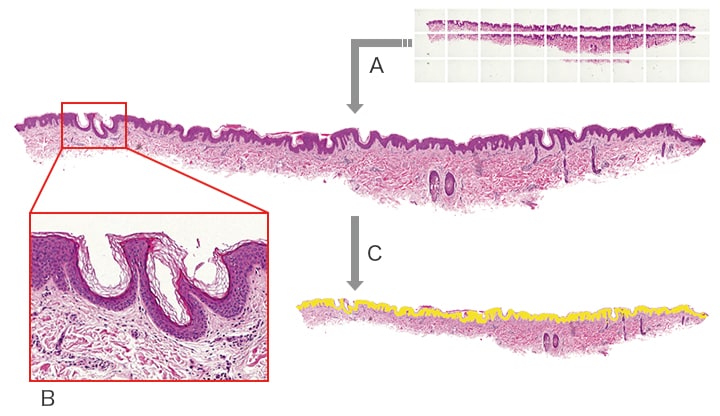
紫外線による皮膚のダメージは、染色した皮膚表皮層の厚みを顕微鏡で観察することで評価できます。しかし、任意の箇所の厚みを測定する手法では箇所によって数値にバラつきが出るため、安定した評価が困難でした。また、サンプルが視野に入り切らない場合は、分割して何度も観察しなければならず、そのたびにピント合わせや照明の設定が必要でした。
キーエンスのオールインワン蛍光顕微鏡 BZ-Xシリーズなら、全体像を確認しながら、最も外側の4点をクリックして座標を登録するだけの簡単操作で、大量の画像を高速連続撮影。最大50000×50000pixelで画像を連結します。レンズ収差の輝度ムラによる連結画像の継ぎ目は、高精度シェーディングキャンセラーによりカット。継ぎ目のない自然な連結画像での観察が可能です。また、局所観察する場合は、連結画像から見たい場所をクリックするだけで、瞬時にその座標に移動し高解像度で観察することができます。
さらに、ハイブリッドセルカウントを利用すると、色や輝度、輪郭情報を基に狙った箇所を正確に抽出して、面積を定量化できます。連結画像を用いれば、正確なだけでなく視覚的にもわかりやすい高品質なデータが得られます。
複数のサンプルがある場合でも、マクロセルカウントを利用すると、最初の1枚の測定条件を他の画像に一括適用して自動測定することが可能。測定時間が短縮できるだけでなく、測定条件のバラつきによる誤差をなくし、データの信頼性を高めることができます。
- A
- 連結画像撮影
- B
- 高解像度の局所観察
- C
- ダメージ部位の抽出と定量化 面積 72865μm2
- オールインワン蛍光顕微鏡 BZ-Xシリーズを導入すれば
-
- 画像連結により広範囲の画像データをスピーディに取得。継ぎ目のない自然な高解像度連結画像での観察が可能です。
- 表皮層全域を抽出して面積測定できるため、短時間でバラつきのない定量データを得ることができます。
- 評価対象となるサンプルが多数ある場合でも、すべてのサンプルを同一条件で測定することができ、恣意性を排除した正確な比較評価を行うことができます。


