イメージサイトメーター(ICM)で菌糸の濃度定量化
イメージサイトメーター(ICM)とは
イメージサイトメーター(ICM)とは、画像を取り込みながら、短時間に多量の細胞を一つずつ定量化するサイトメトリーを活用したシステムです。ウェルプレートやスライドを、細胞をはがさずにそのまま定量化することができます。ウェルプレートやスライドガラス上の細胞それぞれの位置と、測定情報が記録され、定量化し、比較することができるという大きな特徴があります。
サイトメトリーを大別すると、フローサイトメトリー(FCM)とイメージサイトメトリー(ICM)にわけられます。それぞれの測定法を活用した測定装置を、フローサイトメーター(FCM)、イメージサイトメーター(ICM)と呼びます。
フローサイトメーター(FCM)の課題
フローサイトメーター(FCM)は、高速に大量の細胞数をカウントできるため、多くの研究室で活用されています。
一方で、「目に見えないので、本当に正しく測れているのかどうかわからない」 「細胞をはがす必要があるため、ありのままの状態ではなくなってしまう」 といったデメリットがあります。
また、大きな細胞や粘着性のある細胞を使用する際に、フローサイトメーター(FCM)の詰まりが発生してしまうという問題がありました。
イメージサイトメーター(ICM)のメリット
一方でイメージサイトメーター(ICM)は、細胞の現象をイメージングし定量化、解析を行うことができるため、細胞をはがす必要がなく、培養細胞のまま解析することができます。イメージングの技術の向上とともに、近年ますます注目されています。
たとえば、従来難しかった、細胞形態情報と複数のタンパク質の局在・発現情報をリンクさせて解析するなど、実際の画像を確認しながら定量化することができます。
イメージサイトメーター(ICM)での一括自動計測事例
ウェルプレートやスライドを用いて細胞を定量化しようとする際、従来は、なかなか正確に定量化できなかったり、個人差が出てしまったり、全体像がわからなかったり、という問題がありましたが、最新のイメージサイトメーター(ICM)を搭載したBZ-Xシリーズを使えば、高精度に定量化が可能です。共焦点に迫るクリアな観察で、鮮明な観察と解析を実現します。



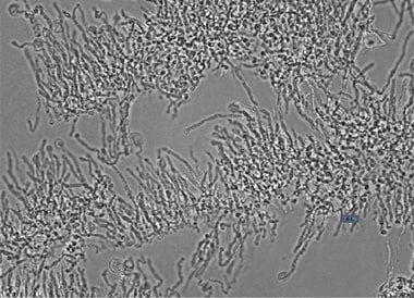
輝度が低いウェルは菌糸の密度が濃い
- オールインワン蛍光顕微鏡 BZ-Xシリーズを導入すれば
-
- 正確に定量化でき、菌糸の増殖具合や濃度を確認できます。
- ウェル全体を高倍率で撮影でき、全体像が一目瞭然です。
- 暗室不要のフル電動制御のため、誰でも簡単に操作でき、個人差なく高度な解析を実現できます。


