肝臓組織の観察
高解像度画像の取得
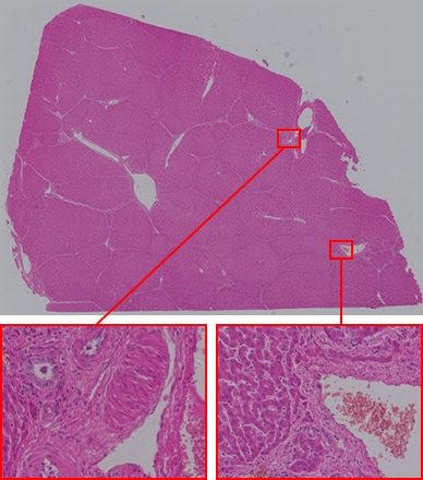
肝臓は非常に機能が多いことで知られ、代謝や排出、消化などにおいて重要な役割を持っていて、脂肪肝や肝硬変、肝臓がんといった症状の研究が進められています。
従来は、切片自体が大きく、顕微鏡で観察しても視野に入りきらないため、任意の箇所を何ヶ所か観察するしかありませんでした。
画像の確認や切り出しも高解像度で行えます。
-

イメージジョイント
-

使用対物レンズ:CFI Plan Apo λ20x
イメージジョイント:19枚×19枚
オールインワン蛍光顕微鏡 BZ-Xシリーズを導入すれば
- 視野に入りきらない大きな切片に対して、ステージを移動しながら画像を取得し、撮影した画像を連結させることで、1枚の高解像度画像を撮影できます。
- 標本に傾きや段差があってもZ方向に複数枚の画像を取得し、撮影した画像からフォーカスが合っている部分だけを合成することで、標本全体にピントがあったフルフォーカス画像を構築することができます。
- ハイブリッドセルカウントを使用して肝臓全体から目的部分だけを抽出し、割合を自動計算できます。
- ハイブリッドセルカウントで抽出した条件を元に、マクロセルカウントを使用して複数の画像を一括処理できます。


