CD68(マクロファージ)の糸球体占有率自動解析
CD68(マクロファージ)がもたらす腎組織への影響
CD68(マクロファージ)の腎糸球体への浸潤は、すべての進行性腎疾患に見られる普遍的な現象です。
小さな穴が開いた毛細血管で形成された微小なかたまりである糸球体は、腎臓のろ過機能をつかさどり、1個の腎臓に約100万個存在します。この糸球体にマクロファージが浸潤することで、腎組織が線維化※してしまうという現象が起こります。
※線維化とは?
組織を構成している結合組織が異常増殖する現象です。具体的には、全身性強皮症では皮膚に内臓や膠原線維(コラーゲン)などの細胞外基質が増加し、皮膚や内臓が硬くなります。心臓の線維化は、細胞外にコラーゲンが過剰に蓄積する現象で、心筋が硬くなり、心臓の機能低下をもたらします。
関連ページ:線維化の定量化
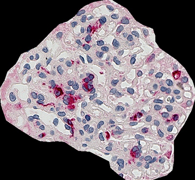
CD68(マクロファージ)の糸球体占有率の解析事例
以下は、CD68(マクロファージ)の糸球体占有率を解析したものです。HE染色を行い、腎生検の全体像を撮影しています。通常、厚みのあるサンプルはピントが合いづらいですが、Zスタック撮影により全体にピントのあった顕微鏡観察が可能となっています。


糸球体の占有率 4.3 %
オールインワン蛍光顕微鏡 BZ-Xシリーズを導入すれば
- 厚みのあるサンプルでもすべてにピントがあいます。
- 高速画像連結により、全体像を高解像度でとらえることが可能です。
- 閾値をそろえて自動定量できるため、客観的な解析を行うことが可能です。


